用心呵护生命——用爱铸就健康

黄龙县人民医院首例
经腔内超声引导下
卵巢囊肿穿刺硬化术
患者手术中
固定布局
工具条上设置固定宽高
背景可以设置被包含
可以完美对齐背景图和文字
以及制作自己的模板

患者,34岁,12年前通过检查发现右侧卵巢囊肿,多年来未进行治疗,近日,患者来黄龙县人民医院复查,通过超声检查发现囊肿由原来的1.3×1.7cm增大到现在的6×4.8cm,卵巢囊肿标志物正常,提示卵巢良性肿瘤,考虑囊肿时间较长,且逐渐增大,建议患者手术治疗。经患者同意,做好各项术前准备,于9月14日为患者成功实施经阴道超声引导下卵巢囊肿穿刺硬化术,手术由延安大学附属医院派驻专家超声科白宝艳和妇科专家师晓艳副主任医师联合,仅十分钟左右就顺利完成手术,解决了患者12年来因疾病所受的情绪和生活困扰。此项手术属于微创手术,术后无切口、无出血、无需住院,手术结束就可以回家。目前,需要解决类似疾病患者还有很多,对于此类疾病大家要有足够的认识和警惕。

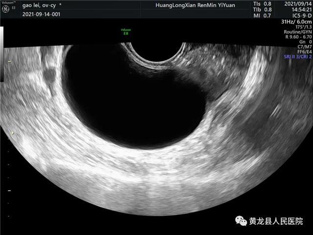
腔内卵巢囊肿超声图像
固定布局
工具条上设置固定宽高
背景可以设置被包含
可以完美对齐背景图和文字
以及制作自己的模板

手术器械
固定布局
工具条上设置固定宽高
背景可以设置被包含
可以完美对齐背景图和文字
以及制作自己的模板

目前,黄龙县人民医院常驻延大附院超声科和妇科专家,周一至周五正常工作日均正常坐诊。超声检查项目包括:
1. 阴式彩超
2. 腹部彩超
3. 妇科超声检查
4. 心脏、四肢、颈部血管等多普勒超声检查
5. 浅表器官(乳腺、甲状腺、腮腺、颌下腺、体表包块)等器官部位超声检查
除以上检查项目外同时可开展各部位囊肿硬化治疗,置管引流、肝癌、子宫肌瘤、子宫腺肌瘤、子宫内膜异位症、甲状腺结节、乳腺结节等疾病的消融治疗,以及甲状腺结节穿刺活检,从而达到病理学高度。妇科专家擅长妇产科常见病、多发病及危重症的诊断、治疗,妇科宫腔镜、腹腔镜等微创手术治疗,宫颈癌及其癌前病变的治疗及预防。专家就在身边,望有需要的女性朋友前来咨询就诊,在此特别告知广大患者,专家的到来除了为您提供便利、减轻医疗负担外,如有紧急疑难危重症患者,或因医院条件限制等无法进行治疗时,延大附院会为您搭建绿色通道,让患者在短时间内得到救治。
延大附院派驻妇科、超声科专家简介


科普时间
下面为大家普及一下经腔内超声引导下卵巢囊肿穿刺硬化术的适应症及注意事项。
卵巢囊肿是一种常见的妇科病,分为生理性囊肿和病理性囊肿,之前我们曾经做过科普,生理性囊肿不需要治疗,病理性的囊肿一般情况下需要手术治疗。病理性囊肿包括单纯性浆液性囊肿、粘液性囊肿、子宫内膜异位症巧克力样囊肿及卵巢冠囊肿。以往传统的治疗方法腹腔镜手术摘除囊肿为主,这里我们给大家介绍的是一种更为安全、无痛、体表不留伤口的经阴道B超引导下卵巢囊肿穿刺硬化治疗。
卵巢囊肿直径达到或超过3cm者均可进行穿刺硬化治疗,太小的囊肿,症状往往不明显,也不需要治疗,穿刺反而不容易。单纯性较大囊肿穿刺抽液后囊内压迅速降低,患者腹胀症状得以缓解,解除囊肿对输卵管的压迫,改善周围组织血运,从而改善输卵管功能。
穿刺治疗对于单纯性囊肿、巧克力样囊肿、浆液性囊肿、卵巢冠囊肿均是适合,但是对于粘液性囊肿、交界性肿瘤或者恶性肿瘤导致的囊肿均不适合。
囊肿是否合适做穿刺,需要先来看门诊,经门诊医生及超声可医生评估后方可下结论是否可以穿刺治疗。若是合适做穿刺治疗的,一般需要择期安排做穿刺治疗,术后当天就可以回家。
手术过程离不开B超室老师的精准定位!定位后,将穿刺针在超声引导下刺入卵巢囊肿,先将囊肿腔内液体抽吸干净,囊肿不能单纯只做穿刺,那样的话囊肿会很快复发,我们在穿刺抽吸的基础上,还需要进行囊肿的硬化治疗,今天我们用的硬化剂是聚桂醇。因为聚桂醇为醚类化合物,所以在治疗复发性卵巢囊肿方面起到了独特的微麻作用,对注射的病灶局部组织有轻微的麻醉作用,可以有效减轻患者术后局部病灶的疼痛感,可以最大限度提高患者应对卵巢囊肿清除术中的耐受性。穿刺的伤口非常小,做完穿刺局部压迫就会愈合。
区别于传统的腹腔镜手术,一般治疗过程创伤很小,几乎没有伤疤和出血,术后不影响正常的工作和生活,一般无需住院,手术完成便可离院。利用介入超声,可减少手术痛苦及术后粘连等并发症,与腹腔镜手术的疗效几乎相同。因其操作方法简单、准确、安全、经济、有效,手术时间短,无明显副作用,易被患者接受。相对于手术对卵巢功能的损伤,穿刺治疗可以更好地保留卵巢功能,避免生育力受损。在B 超技术的支持下,不但可以落实卵巢囊肿前穿刺路径的精准设计要求,还可以在卵巢囊肿清除后及时检测观察卵巢囊肿组织清除情况和清理表现,便于彻底清理卵巢囊肿组织,降低复发率。
穿刺治疗以后,阴道有少许流血是正常的,腹部疼痛一般不明显,术后即可以正常饮食。1月内禁盆浴和性生活。术后第2天就可以上班,术后一个月门诊复查超声。
妇产科指引
门 诊:门诊楼二楼
住院部:住院部4楼
联系电话:
0911-3395187
0911-3317132
0911-3317136
图文:张雯 李延娜 审核:周丽英



