亲爱的宝妈、奶爸您的宝贝有鼻出血的经历吗?它一定是毛细血管破裂吗?正值青春的少年小学神们你的反复鼻出血,一定只是鼻中隔偏曲吗?
今天在这里向诸位小伙伴科普一个青少年鼻出血疾病——鼻咽纤维血管瘤!
鼻咽纤维血管瘤,是一种发生于鼻咽部的良性肿瘤,约占头颈部肿瘤的0. 5%。肿瘤无包膜,富含血管,可能与雄激素相关,可破坏颅底骨质及周围软组织,导致严重的并发症,今天主要向大家科普,该项疾病小知识。
其一,它好发于什么人群呢?
该病可见于任何年龄,好发于10~25 岁青少年男性。
其二,临床具体有什么表现呢?
主要表现为反复发作的鼻出血,出血一般较剧烈,部分患者可伴发贫血表现;其次肿瘤长入鼻腔,可引起鼻阻塞等相关症状。肿瘤侵入翼腭窝、鼻窦后壁、颞下窝、眼眶和压迫咽鼓管咽口可引起面颊部隆起、耳鸣、耳闭、听力下降、干眼症、眼球外突、运动受限、视力减退和视野受损等症状。
其三,怎么诊断?与普通的鼻出血鉴别呢?
目前主要通过鼻内镜或者电子鼻咽检查予以初步诊断,最终依赖于鼻咽部CT和MRI来术前诊断。

图片1:鼻咽镜下左侧鼻咽顶鼻咽纤维血管瘤表现(图片来源于百度)

图2 MRI 横断增强:肿瘤信号均匀强化, 边界清(图片来源于医院影像中心)

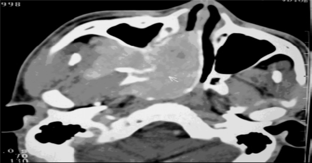
图3、CT 横断位: I肿瘤鼻腔, 骨质无破坏, 增强病灶明显强化(图片来源于医院影像中心)
其四,鼻咽纤维血管瘤的患者需要接受什么治疗呢?
目前该肿瘤主要以手术治疗为主,需要根据病情的严重程度来制定治疗方案。其他治疗如局部注射平阳霉素或硬化剂,抗肿瘤化学药物治疗,微波治疗等,这些疗法由于不良反应多或缺乏肯定的疗效等而未被广泛应用于临床。
综上,当您与您的家人反复存在鼻出血等问题时,不要焦急,亦不要过度忽视,如有相关可疑病症,请及时到医疗机构就医。
(绵阳市第一人民医院/绵阳四〇四医院 杨吉)